
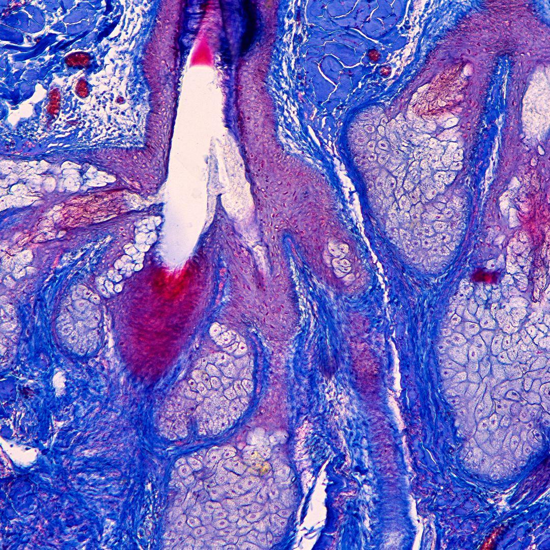
La peau est l’organe le plus étendu du corps humain, et elle joue un rôle vital dans la protection contre les blessures, les infections et les rayonnements solaires. La peau est composée de plusieurs couches de cellules et de tissus, qui sont observables au microscope.
L’épiderme, la couche supérieure de la peau
La couche supérieure de la peau, appelée épiderme, est composée de cellules mortes appelées kératinocytes. Ces cellules sont produites dans les couches profondes de l’épiderme et remontent vers la surface, où elles sont éliminées et remplacées par de nouvelles cellules. Les kératinocytes contiennent de la kératine, une protéine solide qui donne à la peau sa résistance et sa souplesse.
La derme, la couche intermédiaire de la peau
La couche intermédiaire de la peau, appelée derme, est composée de fibres de collagène et d’élastine, qui confèrent à la peau sa résistance et sa capacité d’élasticité. La derme contient également des vaisseaux sanguins, des nerfs, des glandes et des follicules pileux.
L’hypoderme, la couche inférieure de la peau
La couche inférieure de la peau, appelée hypoderme, est composée de cellules graisseuses qui sont responsables de l’isolation thermique et de la protection mécanique de la peau. L’hypoderme contient également des vaisseaux lymphatiques et des nerfs qui assurent la sensation tactile et la régulation de la température corporelle.
En plus de sa structure complexe, la peau a également de nombreuses fonctions vitales pour le corps humain. La peau protège contre les blessures, les infections et les rayonnements solaires, et elle joue un rôle important dans la régulation de la température corporelle. La peau est également un organe de sensibilité, qui permet de ressentir les sensations tactiles et les stimuli extérieurs.
Conclusion
La peau est également un organe en constante évolution, qui se régénère et se renouvelle constamment. Les cellules mortes de la couche supérieure de la peau sont éliminées et remplacées par de nouvelles cellules, tandis que les fibres de collagène et d’élastine de la derme se régénèrent également en permanence.
En résumé, la peau est un organe fascinant qui peut être observé au microscope. La peau est composée de plusieurs couches de cellules et de tissus, qui jouent des rôles importants dans la protection et la régulation de l’organisme. La peau est également un organe en constante évolution, qui se régénère et se renouvelle constamment.
Voir aussi : Moustique au microscope – Bacterie e-coli

